Call us: 01793 528 431

11 Cheney Manor Road, Swindon, Wiltshire SN2 2NT

enquiries@cheneymanor.co.uk

Welcoming New Patients

We would love you to join us! Our friendly approach puts patients of all ages at ease.

Patient Focussed Dentistry

The needs of our patients are paramount. Our aim is to provide high-quality dentistry in a modern environment designed especially for this.

Facial Aesthetics

Refresh your look and glow with confidence. Excellent Results by Qualifed, Professional & Experienced Practitioners.

Invisalign

Invisalign is the discreet way to straighten your teeth. Book an appointment today.

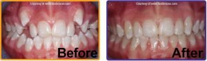
Fast braces Case